“Is not the gown the natural raiment of extremity? What nation, what religion, what ghost, what dream, has not worn it – infants, angels, priests, the dead; why should not the doctor, in the grave dilemma of his alchemy, wear his dress?” – Djuna Barnes, Nightwood
“Medicine is a thankless profession. When you get paid by the rich, you feel like a flunkey; by the poor, like a thief.” – Louis-Ferdinand Celine, Journey to the End of the Night

Contemplation Before Surgery, Joe Wilder, MD. 1998.
A graduate of Columbia Medical School and professor of surgery at Mount Sinai Hospital, Dr. Wilder composed “Surgeons at Work,” a series of 14 paintings on the subject of his profession.
“A surgeon, like an ancient priest, operates on a helpless, unconscious patient, and must never lose sight of this God-given responsibility.”
“Almost every day I experienced great joy, as with a few words I could turn a frightened patient or relative into a more peaceful individual and make him or her the most important person in my life.”

Photograph of a hospital operating room. Netherlands, 1940.

Saint Sebastian Interceding for the Plague Stricken, Josse Lieferinxe, 1497-99. Sebastian, depicted pierced with arrows as dictated by tradition, prays before God in the clouds as a victim of the Black Plague is buried. At the same time an attendant to the grave is himself struck with disease.
Scholar Melissa Katz argues that visual depictions of pain may have played a palliative role in early modern society. Through “an emphasis on the physical torments to be endured prior to the achievement of beatific transcendence,” art invited worshippers to contemplate the reward awaiting them in heaven. This piece was commissioned by a church as part of an altar.

YERSINIA PESTIS, electron micrograph. Microbe responsible for the Black Plague, seen inside the gut of a flea.

Rheumatic pain II (Dolor reumatico II), Remedios Varo, 1948. The surrealist painter depicts the symptoms of fibromyalgia, a chronic neurosensory disorder characterized by musculoskeletal pain, fatigue, and sleep difficulties, whose pathophysiology is not fully understood.

Fever, Jacek Yerka, 1982.
Kylie Minogue – Fever (Live in 2001)

Histology of the Different Classes of Uterine Tumors, Wangechi Mutu, 2004-2005. Mutu attributes her artistic interest in medical subjects to her mother’s career as a nurse. These pieces incorporate 19th century gynecological drawings in collage.
“[Mutu] uses material from a diverse range of sources including fashion and pornographic magazines, as well as ethnographic or scientific publications, such as National Geographic. She explains: ‘I go to these magazines for material and doing that allows me to critique them by breaking them apart and kind of vandalising and dissecting them. I pull apart their structure, literally and physically and conceptually, and then reinterpret it for my own purposes and my own interests.’”

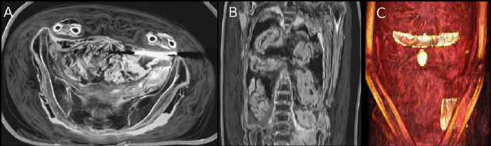
Preserved remnants of a 13th century autopsy…
And a CT scan of the same:


A Student’s Dream, 1906. A medical student poses with cadavers in a humorous reversal of roles.

The Gout, James Gillray, 1799. Gout, a painful inflammatory condition caused by excessive buildup of uric acid in the joints, often presents first below the big toe.

Crystals seen in the synovial fluid of a patient with gout.

Horsford’s acid phosphate, a tart combination of phosphoric acid with various phosphate salts, was sold in the mid 19th century as a general health tonic, and later made its way into an early recipe for Coca-Cola as a substitute for natural citric acid from fruits. You can still purchase some today, for use in sodas and cocktails: Horsford Acid Phosphate – Art of Drink.

This illustration purports to depict the first administration of oxygen gas to a patient with pneumonia, performed by Dr. George Holtzapple in 1885. A 2005 publication disputes this claim, indicating that Dr. Holtzapple “was not the first to use oxygen for pneumonia patients, but was the first to publish a case report with a reasoned physiological explanation of oxygen therapy.”

Ad for an exhibit by artist Trevor Brown. 1996.

Panel 56 of the Migration Series, Jacob Lawrence, 1941. At just 23 years old, Lawrence painted 60 panels illustrating the lives of Black Americans who moved from the South to the North during the Great Migration. This panel’s original caption: “Among one of the last groups to leave the South was the Negro professional who was forced to follow his clientele to make a living.” Here, that professional is a doctor.

Tomb relief at Saqqara, 2350-2000 BCE, depicting what may be mankind’s oldest surgical procedure: male circumcision. Though endorsed by major health organizations for the prevention of conditions like HIV and penile cancer, the practice is not without its controversy, especially in the developed world.

Restraining device used for infants during circumcision. Photo by James Loewen.

Poet and pediatrician William Carlos Williams as a young resident at the New York Nursery and Child’s Hospital.
“The young doctor is dancing with happiness
in the sparkling wind, alone
at the prow of the ferry! He notices
the curdy barnacles and broken ice crusts
left at the slip’s base by the low tide
and thinks of summer and green
shell-crusted ledges among
————————-the emerald eel-grass!”
– William Carlos Williams, stanza from January Morning



Stills from Eyes Without a Face, dir. Georges Franju, 1960.
General Surgery – Crimson Concerto (Live in 2018)


Some drawings by Jacques Fabian Gautier d’Agoty, ca. 1745. The artist collaborated with physician Guichard Joseph Duverney to create detailed anatomical illustrations in vibrant color.

H.P. Lovecraft’s Herbert West, Re-Animator, a medical student who experiments with the resurrection of cadavers, is here substituted with Kanye West in a reimagination by Joshua Chaplinsky.

Wade and Nelson, Radiological evaluation of the evisceration tradition in ancient Egyptian mummies, 2013. These CT scans were performed on the mummy Djedmaatesankh, an ordinary woman from Thebes who died almost 3000 years ago. The body was eviscerated and filled with packages which possibly contained organs. A scarab and falcon were placed on the abdomen external to the body cavity.

Snowboarder, Nick Veasey, 2018. Nick Veasey’s artwork uses a combination of real X-ray technology with digital photomanipulation to produce dynamic images of the motion underneath.
Dr. Octagon – Blue Flowers (1996)

A 17th century illustration by Pietro Berettini depicting the circulatory system. In the lower left corner is a man receiving a blood transfusion from a sheep, and on the right a woman opens her chest to reveal her heart.
Despite a few cases of successful xenotransfusion (transfusion between species), the practice was banned by both France and England in the year 1670, following several patient deaths.

A “zodiac man” diagram from the year 1475. These were used as references for physicians in the practice of bloodletting, to avoid draining blood from certain regions of the body during periods of influence from their corresponding stars.

Spring lancet, ca. 1870, an instrument used for bloodletting.
“The spring lancet had a blade attached to a wire coil. Upon release of the spring, the blade penetrated the patient’s body. Thus, a physician did not have to apply manual pressure. He could also control the depth of the incision by changing the pressure on the spring. Lancets were used in venesection to remove large amounts of blood.
The scarificator [not pictured] was a multi-blade instrument used for making several cuts at the same time, thus rendering repeated incisions with a lancet unnecessary. However, since it only cut through capillaries, it required cupping to increase blood flow. In wet cupping, the heated cup was applied to the slightly slit skin. The vacuum effect helped to remove the blood.”

Depictions of a young anorexic patient before and after treatment. From an 1888 issue of The Lancet, a major medical journal still in publication today.
Recent neurobiological research on anorexia nervosa suggests the disorder may be related to abnormalities of learning and reward processing. Restriction of food intake may provide temporary relief from depression or anxiety through modulation of serotonin-mediated pathways, thereby reinforcing the self-starving behavior.

Anti-smoking PSA created in 1977 by the Pharmacists Planning Service.
“Whenever possible, the tobacco industry works to prevent the creation of media campaigns. In Minnesota, the tobacco industry used political connections to monitor the development of the state’s media campaign, seeing the 1984 Minnesota Plan for Nonsmoking and Health as ‘a revolutionary attack on our industry.’ These connections included informal contacts with members of the technical advisory committee responsible for the implementation of the plan.
The tobacco industry hoped that by monitoring the development of the Minnesota plan, they would be able to reverse any progress that could occur. After monitoring the program, the tobacco industry realized that there was enough support for the Minnesota plan that they needed to take additional steps. Therefore, they created their own, competing campaign and then argued that the state campaign was a waste of taxpayer funds.
The tobacco industry also attempted to prevent the creation of California’s tobacco control media campaign in 1989 while the California legislature was creating the implementing legislation for Proposition 99. According to the political editor of the California Journal in 1989, the media campaign ‘was the main issue because it was that component that bothered them [the tobacco industry] the most. I mean the tax was the tax, there was nothing they could do about it, but the notion that Californians would be educated and that there would be a specific media component to it was what terrified them.’”

Seattle, 1995, HIV education card.
“On the front of the card is an abstract painting of two figures in colorful costumes wearing masks. On the back, at the top, against red background, is fiction about AIDS: ‘AIDS is a disease for older guys.’ At the bottom, against yellow background, is fact: ‘Most people who get HIV get it when they’re young. They can stay healthy for 10 years or more before developing AIDs [sic].’ Phone number to call for help is provided.”

August 13, 1937: a crowd in Chicago rallies against syphilis.
“Most cities across America didn’t jump on the war-against-syphilis bandwagon. But Chicago did, more so than any other community. Its leading newspaper, the Tribune, made the crusade a top priority. A paper known for its rigid conservatism took up the mission of challenging prudery.
The Tribune’s pages shattered ‘the conspiracy of silence’ about venereal diseases. A term like ‘social hygiene,’ it editorialized, was ‘a euphemism which means little.’ In the first two months of 1937, the Tribune published over 50 pieces on venereal diseases. ‘Syphilis’ appeared regularly in its headlines, including on the front page.
Mayor Edward Kelly launched the war with a major conference in January. He assembled a large blue-ribbon commission for a citywide assault on ‘these enemies of mankind.’ Aware of Chicago’s reputation for corruption, the president of the city’s board of health told the press that ‘there is no politics in syphilis and gonorrhea. The city administration has nothing political to sell in undertaking this campaign.’ Another public health official sounded a similar note. ‘There are no political, religious, racial, national, or other groups to be favored … The enemy we are going to fight plays no favorites.’”
“At the end of 1936, Chicago had just two public clinics that provided [venereal disease] testing. One was at police headquarters and the other at the city jail, neither location particularly inviting. A year later, the city had 35 new locations. It also offered on-site testing at factories and high schools.”
Scene from The Testament of Dr. Mabuse, Fritz Lang, 1933
BONUS:
Image hanging on the wall at my medical school.

“The end of physic is our body’s health.
Why, Faustus, hast thou not attain’d that end?
Is not thy common talk found aphorisms?
Are not thy bills hung up as monuments,
Whereby whole cities have escap’d the plague,
And thousand desperate maladies been eas’d?
Yet art thou still but Faustus, and a man.
Couldst thou make men to live eternally,
Or, being dead, raise them to life again,
Then this profession were to be esteem’d.”
—————————-– Christopher Marlowe, Dr. Faustus
SOURCES:
AMBOSS med school study tool
National Library of Medicine image collections
https://joewilderarts.com/about-the-artist-joe-wilder/#bg
https://www.persee.fr/doc/inter_1164-6225_2006_num_26_1_1311
https://pmc.ncbi.nlm.nih.gov/articles/PMC4042035/
https://pubmed.ncbi.nlm.nih.gov/16244712/
Neurobiology of anorexia and bulimia nervosa – PubMed
https://onlineexhibits.library.yale.edu/s/medicalastrology/page/astrological-anatomy
1937: Chicago goes to war – Windy City Times
The Rise and Fall of Tobacco Control Media Campaigns, 1967–2006 – PMC
*
p.s. Hey. Today we get the immense pleasure of concentrating on a truly beautiful, poetic and even informative post from Dev. I’m blown away by it, and I hope you get a lot from it too. Cool if you could give him some feedback although, of course, no rules around here. Enjoy the gift, and so many thanks to you, Dev. ** Laura, Hi. I don’t really know what Russia-based porn is like these days. They used to own the darker side of twink porn … what 20 years ago. As you know. The Michon book isn’t in English, is it? I can’t read French. Well, the ‘newspaper’ and subtitles a little. Sure, my work has gotten wonderful press. More so than bad, at this point, I think. Nice poem. Your dad’s. Footnotes, yeah, no clue. Never used them. DF Wallace did brilliant things with them, I think. Today? Just a bunch of film screening searching and setting up, I think. I think there might be a reading I want to go to tonight, but I have to check. You, yours? ** _Black_Acrylic, Motherfuckers! And so boringly predictable. ** Lucas, Hi. Yeah, Kalil Haddad is very interesting. Hard to see his work though. I tried to make a post about him, but there’s almost no presence for his actual films online to swipe. I always have to pack everything for a trip, except, like, toiletries, at least 24 hours before I leave because I get pre-trip anxiety. So, no, I’m a ‘be prepared’ kind of dude. Yeah, it seems like your comfort and confidence with prose is at a height. If you ever take some iPhone snaps of your friend’s analog collages, I’d be curious to take them in. ** Nicholas., Yay, HNY then! I do think growing up in LA contributed heavily to my kind of calm demeanor even though inside I can be stressing way out. But, no, I’m not mean or duplicitous or anything. ‘Room Temperature’s’ original producer was a hateful monster, and I did blow up at him a number of times, and it wasn’t pretty, but he deserved it. No, I didn’t think to make 2026 resolutions or anything. Too late now, I think. Yours are good on both fronts, obviously. ** Carsten, Congrats on the acceptance! Happy you seem to have found your journal/publisher family. Grungy LA is not hard to find, and downtown still has its pockets for sure, and further out, as always. Nice, thank you re: the guest post. Whenever’s good. ** Brendan, Definitely: Tarr. Yeah, just last night I saw an ad thing for the NYC show you’re in. Very cool! Enjoy your show’s last days however one can do that. Those guys who run that gallery seemed really nice. And it has a bathroom. And the bathroom is very William Eggleston. Congrats on your bicoastiality. That’s not a word? ** Steve, No mice here yet, but I’m counting the days. I’ve certainly seen a bunch of AI porn, but nothing that gets into the art realm. Or into my art realm. AI’s inherent vapidity might be a problem. The guitarist is Shane Parish, and this is the album. Sparks ’74, ‘Propaganda’ era, nice. ** kenley, Thank you for the warm return. Amazing that The Last Bookstore is still around. It’s intermittently great, but just the parking around there is hellish. I’m a little behind on current LA due to only occasionally visiting. Stories is a pretty good bookstore. There’s this newish, very quirky Russian museum in Culver City called Wende is pretty interesting. Let me have a think. I can see the solidarity thing. I can see that there’s an openness to her mystery that can make one want to own it in some weird way. Yes, Haddad’s a Torontoian. You probably have the best shot and seeing his stuff. It’s hard. Okay, thank you about Hearn. That’s enough info to get me angled. How are you doing otherwise? What are you up to? ** Bill, Can’t remember where exactly I found the Hensher review. It’s hard to find writing about Tillman that doesn’t have the kind of qualifying and questioning I think his work is due. Jury duty, yikes. I’ve never ever responded to any of the summons for jury duty I’ve ever received, and no one has ever come after me. Anyway, I assume I would just have to say I’m anarchist to get immediately dismissed. ** Dev, Hi, maestro. Thank you again ‘in person’ for the amazing post. I’m very chuffed, as I guess t the Brits say. Your birthday’s on Sunday? Are you doing anything of marked interest? I’m broke, and everyone I know is broke, so I suspect I’ll be lucky to have a meal with a friend or three. I have an odd idea of seeing if friends want to get together and eat a GdR and watch Tati’s ‘Playtime’ for some reason, but that might be too much to organise too late in the day. ** HaRpEr //, London might be #2 sex crimes central after LA, I wonder. Curious place, the UK. Like when I’m gather slaves for the posts, I would say 80% of the slaves, and the kinkiest ones, are based in the UK. Germany is #2. Paris doesn’t have much negative space either. It’s highly organised. Which I like, mind you. In the 70s there were quite a few gay porn filmmakers who tried to make gay porn was also actual art, high art even. But they were just artsy-fartsy porn films in the end. Cadinot got close to making pretty artful, smart but sexy porn in his early days. I haven’t seen ‘Castration Movie’ yet, but some say it’s something of the sort? ** Steeqhen, Cool about Gluck’s reading. I’m sure you acquitted yourself perfectly well. Luck with that bookshop. How long are you in London for? ** Uday, You? I think I would feel the need to master my technique before I texted anyone worthy and of note. I’ve been interested in subverting and complicating, etc. sexiness in my work for a long time. It’s an interesting quest. It’s a challenging power to work with. I think there are artists who have been pretty successful at it. Here and there. I’m not coffeed up enough to name names at the moment, but I could. ** Okay. Glorify yourselves and whatever else you want and feel in the face of Dev’s masterful construction until I see you again tomorrow. Thank you.



Now available in North America
oi Dev!
this was beautiful! the sheer ambiguity of it, love. and that medieval autopsy, omg, he (?) looks like the Grauballe Man or smth, sacrificed, so poignant. and the poetry! it was also fun hearing a doctor talk a bit like a sex worker, like, charge the rich, charge the poor etc. unlucky circumcised infants and full-grown Egyptians, smh. thanks a lot for this post, you cooked, you ate ^_^
hi Dennis!
Michon’s Rimbaud The Son is def out there in English, let me know what you think if you ever do pick it up! to me the dramatised format alone is v cool.
did you go to that reading last night? i struggled w my footnote situation and came away w nothing lol. they’re super annoying and i mean that, but i also sort of like them? or maybe that’s just a weird philologist thing and they’re really nothing but annoying idk.
i see you’ve got a birthday coming? hope it hits the spot, big plans or small. you’re getting crazy gorgeous w age, there’s def that lol. happy friday!
<3
Hey Dennis! Anna Uddenberg amazing as always. The Elin Magnusson was amazingly moving haha, I’m not quite sure why. I like those Jim Herbert paintings a lot too, I always really like that kind of slightly old-fashioned expressionism put on top of modern situations. I don’t know how deep the Pizzagate rabbithole you’ve gone down (not in terms of believing it, of course), but they have a really strange obsession with sex in art. It’s always amusing to see people analyse art in bizarre, alternative ways (like, “what secret message is this trying to convey to those in-the-know”).
I would say your friend getting hostile about you not reading Proust is MORE of a reason to double down, but that’s probably just what my boyfriend would call my “oppositional defiant disorder”, haha. Oh, I got to read my friend’s manuscript recently too, and it was really, really good. I ended up writing, like, five pages of notes, but I’m sort of curious if you recommend sending them off, given that you’re probably the most author-ish person I’m in contact with.
Happy birthday for tomorrow btw, looking forward to seeing what your present to us blog-readers are!
hello hello! dev, i enjoyed your post very much. was particularly taken by d’agoty’s illustrations—that woman’s skin peeled back like wings took my breath away. and, of course, kylie!
dennis, thanks for the recs! lol, from what i recall the parking everywhere in la is hellish so…it is what it is. i’ll let you know if i can crack the case re:haddad. perhaps i’ll be able to share my bounty. me, i’m in the middle of my own hellacious journey thru the canadian permanent residency application process. awful! my boyfriend’s out of town recording with his band for a few days, so i miss him but i’m gonna try to catch up on reading & maybe go out dancing before my band plays our own show on sunday. how about you, i see it’s your birthday soon (happy birthday!! i send you best wishes and visualizations of cake)—any fun plans??
@ Dev, congratulations on this! As someone who’s spent more than I would like in the quarters of various doctors, the day will accompany me intimately over the course of this coming weekend.
Very happy to report that a book I’ve long been waiting on for a long time has finally arrived! Nicolas Ballet – Shock Factory: The Visual Culture of Industrial Music (Intellect Books, 2025) is here right in front of me and it’s looking splendid. Nearly 600 pages of the guy’s PhD thesis and this has got to be the definitive text.
Thanks so much for hosting this post Dennis! And thanks to everyone else for the kind comments.
I hope you enjoy whatever you end up doing on your birthday! Love Playtime, Tati is so good. We have a dinner reservation for my bday at a Tunisian place called Jamila’s that I’m very excited to try. It was actually featured in the Simpsons bit where Homer eats at a bunch of New Orleans restaurants, which is funny because it seems like kind of a deep cut. I guess one of the writers must have eaten there.
@_Black_Acrylic, that industrial music book sounds awesome.
@Dev: beautiful assemblage! It’s a delight to see this topic handled so poetically & inventively. Do you know the old English “Nine Herbs Charm”? One of my favorite “medical” (or healing) poems that popped to mind while digging through your post.
Here’s an audio reading of the charm: https://youtu.be/smGT0rxfqCo?si=bjP0snjKbdyvRHf0
I did not know it! Thanks for sharing!
@darbz: I don’t know if you’ll see this, but in the wake of my latest publishing roll I thought of you & remembered you telling DC about your difficulties finding suitable venues for your work. My tip: try Turtle Island Poetry & Keeping the Flame Alive. I found both on Facebook. They do recurring issues & have open submissions all the time, they’re remarkably fast in their response time & just generally they dodge the rigidity of most poetry mags & seem to welcome the offbeat.
@DC: Yeah I am noticing a common thread in the journals & publishers that have accepted my work so far. It’s not the self-important prestige Literary-with-a-capital-L mags, or the postmodern linguistic contortionists, & thank the gods for that. I usually land where I always assumed I would, at the sacred, the mad & the oral, or ideally the intersection of all three.
I saw talk of The Last Bookstore in the PS. Thrilled to hear it’s still around. Man I spent weeks in that place. Always loved it. In my 20s my idea of a perfect day downtown was browsing around in there, a French dip sandwich at Cole’s & a drink at King Eddy’s. Two out of those three places still exist, not bad.
Here’s a holiday idea: if you & I ever end up in LA again at the same time we have to go for a drive & compare favorite weird LA spots, haha
Hey D.
Shame we’ve missed you when you were here. But you are in our hearts and minds regardless of geographical proximity. We did see Joel recently and that, as always, was a true pleasure.
The doctor post recently made me think of a picture I have of my dad mid operation. He’s holding up his surgical gloves that have blood on them. It’s from the ‘50s, black and white, and reflects a scene that is spartan and archaic. LA County Hospital. I don’t have many pictures of my dad. So, it’s nice to see the intensity in his surgeon eyes amidst the ongoing human repair he’s performing. He was a cool human.
Now, I hope that you have a lovely birthday, my dear friend. In a world that is indulging itself in profound weirdness of the most unnecessary sort, we have you. I think of you and your ease in so generously creating so many sparks of curiosity. Our gratitude and love continue. You’re a very special entity, D.
Happy Birthday my friend.
I think the falafel gods have blessed us both
so just today I went to the saigon market ands
guess what, right there the falafel balls were back!
This is what they look like:
https://www.ziyad.com/product/ziyad-frozen-falafel/
Im so happy.
Update: cooked them with Avocado oil, which I use on occasion when I remember..
oh my, it was so good, so delectable and scrumptious.
Last night I went to my first improve thing at a friends’ friends house. It was fun! Haha,
Did thrifting, I found a CD/cassette player for 4.99$ which is amazing! Tested the CD player out b4 I bough it and that worked which is a good enough reason for me to buy since I have been in search of a CD player. Havent tested the cassette player yet. Now im just searching for A CRT VHS box tv to add to the collection
Have a good weekened!
My parents’ estate called me today to let me know their house has been sold and a new family has moved in. This is good news – I’ve received the income from the sale – but it’s also a major turning point. It’s very unlikely that I will ever visit the house where I lived till I was 16 again. My parents bought in the ’60s and lived there until they were hospitalized last year. I started crying when I heard the news.
Hi Dennis! Wishing you a happy birthday after a long time incommunicado.
Here’s to many more years of enriching endeavor.
J
@ dev ty for the beautiful post!
i think becoming a doctor in its essence is like the most human thing you can do. to help people. right now im sitting in a train (my back hurts) (the lights are too bright) and apparently multiple people with medical knowledge/doctors went to wagon 9 because someone had an emergency and there needed to be an announcement that no more medical professionals are needed. coincidence it happened while i read this post, i guess, i hope whoever that was is alright.
the rendition of the anorexia patient really affected me. you know, when it’s portrayed physically, it’s usually in this almost fetishizing way — the entire focus is on the bones jutting out, the hollow skin etc. but i like how her face is drawn almost gently, her look towards the side most of all. it does seem like there’s someone behind that drawing and not just an assumption/idea/reaction to the illness.
i should’ve packed my stuff earlier today because i ended up having to take a rly horrible connection… going to have chill 2 hrs at a station and then get into another train in order to arrive to my destination at like 9am so i’ll have a not insignificant 5 hours of sleep if i’m lucky. oh well.
but now i’m listening to music and writing this reply, which is nice.
i still have that phil ochs post thingy i prepared a long time ago if i haven’t sent it to you yet, if you want to post it still.
if i manage to catch up w/ school in the next few weeks (hope! tho hope is not enough i rly have to study!) ill allow myself to start fiddling around and writing out a really ambitious concept i made a long time ago for a story. so im looking forward to that maybe.
xoxo
and also happy bday, hope its whatever you want to make out of it this year nothing more nothing less !
Dev — nice work! What drew you into medicine? Wonder if I’m one of the few disturbed that doctors rarely require you to disrobe now, and at most take a quick glance or poke at your exposed body.
Bring back the laying on of hands please
Lol, nowadays we are trained to have the patient expose as little as possible so they don’t feel uncomfortable.
Medicine is basically the most exciting/intellectually stimulating job that also offers basically guaranteed financial security. Not the most poetic motivation, I know. I also enjoy the hands-on aspect and doing something tangibly useful. I feel like I’d hate having an office job.
Glad you enjoyed the post!
Happy Birthday, Dennis! I hope you’re feeling better!!!
Great post today, Dev!
Hey Dennis
Gonna try keep this quick (which for me will still be a long comment) as I need to sleep to get up early tomorrow (or I guess today) for my flight, which answers your question about how long I’m here until.
Really love this. I’m a big fan of surgery and bodies, diseases, and medical imagery. I was only talking to my friend today about how I love to see surgeries, but I know I couldn’t be a doctor as the smell would be what throws me off, not the sight of organs and blood sloshing about.
I realized yesterday that I actually booked the exact same dates for this trip as I did for when I visited Paris last year; I know because of that that your birthday is today (or I guess yesterday), so happy birthday! Hope it was nice.
I intend to come back to London as soon as I can — my friend even suggested I try find a sublet or spare room somewhere to try move over earlier than September, which I don’t think I’ll end up doing but am heavily considering. I do want to revisit Glasgow again, and also Paris, and my friend in Madrid, and maybe Cardiff, and also a lot of places in Ireland, so I’m unsure about when I’ll be back here and if I’ll even go to any of those other places.
I’ll be flying into Dublin tomorrow, and considering my progressive distaste for Dublin, I think that going from London to there will really make me hate Dublin. I had an experience flying back from Copenhagen to Dublin – a pristine beautiful city to the kip of Ireland – and 10 minutes after getting the bus I look to my left and see two pairs of underwear filled with shit in a doorway, and I think it really summed up how I felt about being back in Dublin.
Happy birthday Dennis. I’m super grateful for the support you’ve given me and so many cherished loved ones of mine, and having your guiding light all the time with me. I hope you have a beautiful 2026. How have you been? Chris Hanley and I have been up to some shenanigans… will keep you posted soon. All the love – A